رادیولوژی در منزل تهران
رادیولوژی یک نوع از روش های تصویر برداری از بدن انسان می باشد .در این نوع تصویر برداری همانند سی تی اسکن اشعه ایکس است که کاربرد دارد. با توجه به پیشرفت علم دستگاه های رادیولوژی در ابعاد خیلی کوچک و قابل حمل به داخل منزل طراحی و ساخته شده اند.
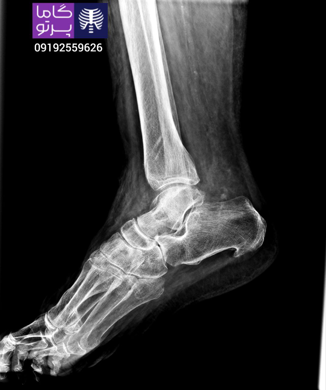
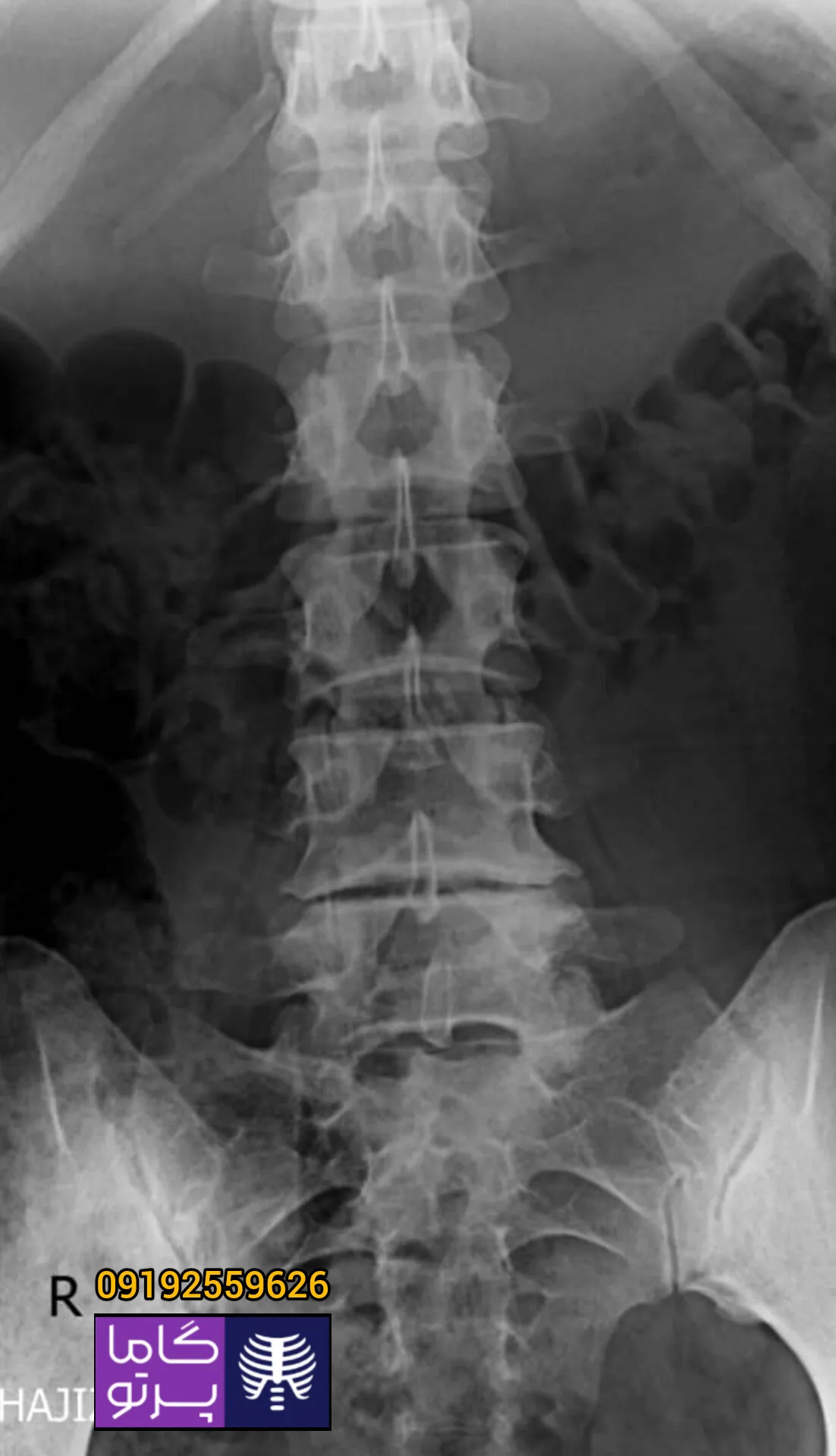
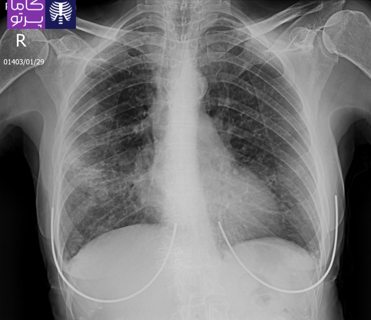
در این روش تصویر برداری یک صفحه (گیرنده یا دتکتور) در زیر عضو و قسمت مورد نظر قرار داده می شود و اشعه ایکس(دُز از اشعه جهت تشخیص) به همان قسمت که روی صفحه قرار گرفته تابنده می شود و توسط صفحه اطلاعات دریافت می شوند و همین اطلاعات پس از پردازش های لازم در نهایت عکس رادیولوژی به ما ارائه می دهد. کاربردهای رادیولوژی در منزل دقیقاً همان کاربرد رادیولوژی در بیمارستان ها می باشد از جمله بررسی انواع شکستگی ها، دررفتگی مفاصل، آرتروز مفاصل، دیدن پروتز های داخل استخوان از نظر بررسی موقعیت پروتز، آب آوردگی ریه(اِدم وافیوژن) و عفونت ریه، شکستگی دنده ها، انساد و وجود هوا در شکم و… می باشند. رادیولوژی در منزل تمام این خدمات را ارائه می دهد.
مزایای رادیولوژی در منزل
- با وجود رادیولوژی در منزل دیگر لازم نیست که وقت خود را در بیمارستان و مراکز رادیولوژی و ترافیک کلافه کننده تلف کنید و در نوبت بمانید.
- لازم نیست جهت یه عکس ریه و… مریض خود طبقات بالا یا پایین حمل کنید و به مراکز رادیولوژی و بیمارستان ها منقل کنید.
- با رادیولوژی در منزل به علت جابجایی کمتر، مریض کمترین درد ممکن را متحمل می شود.
- یک پوئن خیلی مثبت کاهش هزینه هاست، دیگر نیاز به هزینه آمبولانس نیست چون ما به منزل شما مراجعه می کنیم
- خیلی زودتر به مریض شما رسیدگی می شود تکلیف مریض مشخص می شود.
- با رادیولوژی در منزل همان خدمات رادیولوژی در بیمارستان با کیفیت به شما ارائه می شود و جهت هر چه سریع تر درمان اقدام می کنید.
تصاویری از رادیولوژی در منزل توسط گاما پرتو
مراحل رادیولوژی در منزل
خدمات رادیولوژی در منزل گاما پرتو در چهار مرحله بدون اتلاف وقت و سریع ترین زمان ممکن ارائه می شود.
1
2
3
4
رزرو آنلاین رادیولوژی در منزل
جهت رزرو وقت و دریافت خدمات رادیولوژی در منزل گاما پرتو، فرم زیر را تکمیل نمایید. پشتیبانی گاما پرتو در اولین فرصت جهت هماهنگی با شما تماس خواهد گرفت.
فیلم رادیولوژی در منزل
رادیولوژی در منزل، یک خدمت نوین است که به شما این امکان را میدهد که بدون نیاز به حضور در مراکز درمانی، تصاویر رادیوگرافی خود را در محیطی راحت و آسان در خانه تهیه کنید. این خدمت به ویژه برای افرادی که به دلیل سن بالا، کمتوانی یا فشار کاری زیاد، امکان مراجعه به مراکز رادیولوژی را ندارند، بسیار مناسب است. این خدمات توسط گاما پرتو در شهر تهران ارائه میشود، که با تجربه و تجهیزات پیشرفته، اطمینان از کیفیت و دقت بالای تصاویر گرفته شده را به شما میدهد.
سوالات متداول درباره رادیولوژی در منزل
باید گفت بله با پیشرفت علم دستگاه رادیولوژی در ابعاد خیلی کوچک و قابل حمل طراحی شدن و به هر مکانی قابل حمل می باشد.
با وجود دستگاه پرتابل در ابعاد کوچک دستگاه توان خیلی بالایی در ارائه تصویر با کیفیت بالا دارد و با دستگاه بیمارستانی هیچ تفاوتی ندارد.
باید گفت که اشعه ایکسی که جهت گرفتن عکس رادیولوژی استفاده می شود.
بیشتر جنبه تشخیصی دارد و فقط دز خیلی پایینی از اشعه به عضو مورد نظر تابانده می شود و عکس رادیولوژی تهیه و پردازش می شود.
تصویر دیجیتال رادیولوژی در همان لحظه در منزل شما تحویل داده میشود.
چنانچه نیاز به کلیشه رادیولوژی داشته باشید کمتر از 24 ساعت به آدرس شما ارسال و تحویل داده میشود.
هزینه رادیولوژی بستگی به نوع رادیولوژی و تعداد عکس های مورد نیاز از قسمتی که تصویر برداری می شود و همچنین آدرس و موقعیت منزل مریض دارد.
اگر پاسخی برای سوال خود درباره رادیولوژی در منزل گاما پرتو پیدا نمی کنید. با گاما پرتو تماس بگیرید.





















چرا بعضی از عکسهای رادیولوژی رو با تزریق ماده حاجب انجام میدن؟ این ماده خطرناک نیست؟
برای دیدن و بررسی ساختارهای لوله مانند مثل لوله گوارش مجاری ادراری و عروق بدن چون در حالت عادی در عکس رادیوگرافی ساده مشخص نیستند بخاطر همین یک ماده حاجب بعنوان نشانگر تزریقی ( برای عروق و مجاری کلیوی و حالب و مثانه ) یا بصورت خوارکی ( لوله گوارش مانند مری معده و روده باریک) و برای روده ی بزرگ و مجرای ادراری بصورت تزریق از انتهای لوله گوارش و مجرای ادراری استفاده می شود.
ماده حاجب مانند داروهای دیگه هست متناسب و سازگار با شرایط بدن ساخته شدن و از طریق کلیه دفع می شوند بنابراین ضرری ندارن فقط برای افرادی که مسن هستند و یا مشکل کلیوی دارند اول یه سری آزمایش انجام میدن بعد از اینکه آزمایشات اوکی بود برای آنها این کار انجام می شود.
البته مانند هر دارو و ماده ممکنه بعضی افراد به ماده حاجب حساسیت داشته باشن بنابراین اول تست می کنن اگه شرایط اوکی بود بعد تزریق انجام و گرافی گرفته می شود.